Abstract
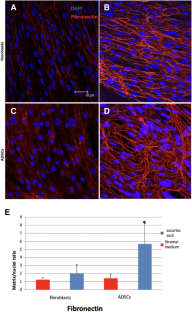
Cell-based strategies are today widely studied as possible therapies for wound healing. In this setting, fibroblasts play a key role since they are the main dermal cellular component and are responsible for extracellular matrix secretion. Several works report on the possibility of using fibroblast-derived extracellular matrix scaffolds for wound healing in skin injuries. While fibroblast-based substitutes have already been intensively studied by other groups, we focused our attention on the possibility of creating an adipose-derived stem cell (ADSC)-induced dermal scaffold for wound healing. ADSCs are a particular subset of mesenchymal stem cells present in the stromal vascular fraction of the adipose tissue. The aim of our work was to compare the ability of ADSCs and fibroblast to produce in vitro a scaffolding material, both in terms of collagen and fibronectin production. ADSCs turned out to be capable of efficiently producing a collagen and fibronectin-containing dermal matrix upon stimulation with ascorbic acid. We observed fibronectin and collagen production by ADSCs to be even more abundant when compared to fibroblasts’. Our results support the use of ADSC-induced sheets instead of fibroblast-based dermal substitutes as wound-healing strategies in full-thickness skin injuries.
This is a preview of subscription content, log in to check access.
Access options
Buy single article
Instant unlimited access to the full article PDF.
34,95 €
Price includes VAT for Italy
Subscribe to journal
Immediate online access to all issues from 2019. Subscription will auto renew annually.
152,76 €
Price includes VAT for Italy


References
- 1.
Lindley LE, Stojadinovic O, Pastar I, Tomic-Canic M (2016) Biology and biomarkers for wound healing. Plast Reconstr Surg 138:18S–28S
- 2.
Pastar I et al (2014) Epithelialization in wound healing: a comprehensive review. Adv Wound Care 3:445–464
- 3.
Gould, L. et al. Chronic wound repair and healing in older adults: current status and future research. Wound Repair Regen. Off. Publ. Wound Heal. Soc. Eur. Tissue Repair Soc. 23, 1–13 (2015).
- 4.
Sen CK et al (2009) Human skin wounds: a major and snowballing threat to public health and the economy. Wound Repair Regen 17:763–771
- 5.
Barrientos S, Brem H, Stojadinovic O, Tomic-Canic M (2014) Clinical application of growth factors and cytokines in wound healing. Wound Repair Regen 22:569–578
- 6.
Hamdan S et al (2017) Nanotechnology-driven therapeutic interventions in wound healing: potential uses and applications. ACS Cent Sci 3:163–175
- 7.
Bannasch H et al (2003) Skin tissue engineering. Clin Plast Surg 30:573–579
- 8.
Clark RAF, Ghosh K, Tonnesen MG (2007) Tissue engineering for cutaneous wounds. J Invest Dermatol 127:1018–1029
- 9.
Teepe RG et al (1990) The use of cultured autologous epidermis in the treatment of extensive burn wounds. J Trauma 30:269–275
- 10.
Idrus RH et al (2014) Full-thickness skin wound healing using autologous keratinocytes and dermal fibroblasts with fibrin. Adv Skin Wound Care 27:171–180
- 11.
Esteban-Vives R et al (2015) In vitro keratinocyte expansion for cell transplantation therapy is associated with differentiation and loss of basal layer derived progenitor population. Differentiation 89:137–145
- 12.
Eming, S. A., Martin, P. & Tomic-Canic, M. Wound repair and regeneration: mechanisms, signaling, and translation. Sci. Transl. Med. 6, 265sr6 (2014).
- 13.
Strong AL, Neumeister MW, Levi B (2017) Stem cells and tissue engineering. Clin Plast Surg 44:635–650
- 14.
Blumberg SN et al (2012) The role of stem cells in the treatment of diabetic foot ulcers. Diabetes Res Clin Pract 96:1–9
- 15.
Santos JM et al (2015) Three-dimensional spheroid cell culture of umbilical cord tissue-derived mesenchymal stromal cells leads to enhanced paracrine induction of wound healing. Stem Cell Res Ther 6:90
- 16.
Raposio, E. & Bertozzi, N. Isolation of Ready-to-Use Adipose-Derived Stem Cell (ASC) Pellet for Clinical Applications and a Comparative Overview of Alternate Methods for ASC Isolation. in Current Protocols in Stem Cell Biology 41, 1F.17.1–1F.17.12 (John Wiley & Sons, Inc., 2017).
- 17.
Ramirez H, Patel SB, Pastar I (2014) The role of TGFβ signaling in wound epithelialization. Adv Wound Care 3:482–491
- 18.
Pastar I et al (2010) Attenuation of the transforming growth factor beta-signaling pathway in chronic venous ulcers. Mol Med 16:1
- 19.
Clark RAF, An J-Q, Greiling D, Khan A, Schwarzbauer JE (2003) Fibroblast migration on fibronectin requires three distinct functional domains. J Invest Dermatol 121:695–705
- 20.
Sawicka KM, Seeliger M, Musaev T, Macri LK, Clark RAF (2015) Fibronectin interaction and enhancement of growth factors: importance for wound healing. Adv Wound Care 4:469–478
- 21.
DiPersio CM, Zheng R, Kenney J, Van De Water L (2016) Integrin-mediated regulation of epidermal wound functions. Cell Tissue Res 365:467–482
- 22.
Widgerow AD (2013) Chronic wounds—is cellular ‘reception’’ at fault? Examining integrins and intracellular signalling’. Int Wound J 10:185–192
- 23.
Bourget J-M et al (2017) Microstructured human fibroblast-derived extracellular matrix scaffold for vascular media fabrication. J Tissue Eng Regen Med 11:2479–2489
- 24.
Larouche D et al (2016) Improved methods to produce tissue-engineered skin substitutes suitable for the permanent closure of full-thickness skin injuries. BioResearch Open Access 5:320–329
- 25.
Tondreau MY et al (2015) Mechanical properties of endothelialized fibroblast-derived vascular scaffolds stimulated in a bioreactor. Acta Biomater. 18:176–185
- 26.
Paganelli, A. et al. In vitro engineering of a skin substitute based on adipose-derived stem cells. Cells Tissues Organs Article in press, (2019).
- 27.
Zuk PA et al (2002) Human adipose tissue is a source of multipotent stem cells. Mol Biol Cell 13:4279–4295
- 28.
Klar AS, Zimoch J, Biedermann T (2017) Skin tissue engineering: application of adipose-derived stem cells. BioMed Res Int 2017:1–12
- 29.
Collawn SS, Banerjee NS, de la Torre J, Vasconez L, Chow LT (2012) Adipose-derived stromal cells accelerate wound healing in an organotypic raft culture model. Ann Plast Surg 68:501–504
- 30.
Hur W et al (2017) Regeneration of full-thickness skin defects by differentiated adipose-derived stem cells into fibroblast-like cells by fibroblast-conditioned medium. Stem Cell Res Ther 8:92
- 31.
Bourget J-M et al (2015) Potential of newborn and adult stem cells for the production of vascular constructs using the living tissue sheet approach. BioMed Res Int 2015:168294
- 32.
Vallières K et al (2015) Human adipose-derived stromal cells for the production of completely autologous self-assembled tissue-engineered vascular substitutes. Acta Biomater 24:209–219
- 33.
Germain L et al (2018) Autologous bilayered self-assembled skin substitutes (SASSs) as permanent grafts: a case series of 14 severely burned patients indicating clinical effectiveness. Eur Cell Mater 36:128–141
- 34.
Cantin-Warren, L. et al. Specialized Living Wound Dressing Based on the Self-Assembly Approach of Tissue Engineering. J. Funct. Biomater. 9, (2018).
Author information
Ethics declarations
Conflict of interest
None declared.
Additional information
Publisher's Note
Springer Nature remains neutral with regard to jurisdictional claims in published maps and institutional affiliations.
Rights and permissions
About this article
Cite this article
Paganelli, A., Benassi, L., Rossi, E. et al. Extracellular matrix deposition by adipose-derived stem cells and fibroblasts: a comparative study. Arch Dermatol Res (2019). https://doi.org/10.1007/s00403-019-01997-8
Received:
Revised:
Accepted:
Published:
Keywords
- ADSC
- Dermal scaffold
- Fibronectin
- Tissue engineering
- Collagen I